ПН-ВС: 8-00 до 20-00
Услуги
Цены
Горящее время
Акции
Специалисты
Лечение по ДМС
Контакты

+7 (920) 628-56-04

Муром
ул. Московская, д. 101




Мы Вам перезвоним
Укажите имя:

Номер телефона:

Ваше сообщение:
Соглашаюсь с политикой конфиденциальности

Отправить

Вы также можете написать нам в telegram

Задайте вопрос
Укажите имя:

Номер телефона:

Напишите ваш вопроc:

Соглашаюсь с политикой конфиденциальности

Отправить
загрузка...

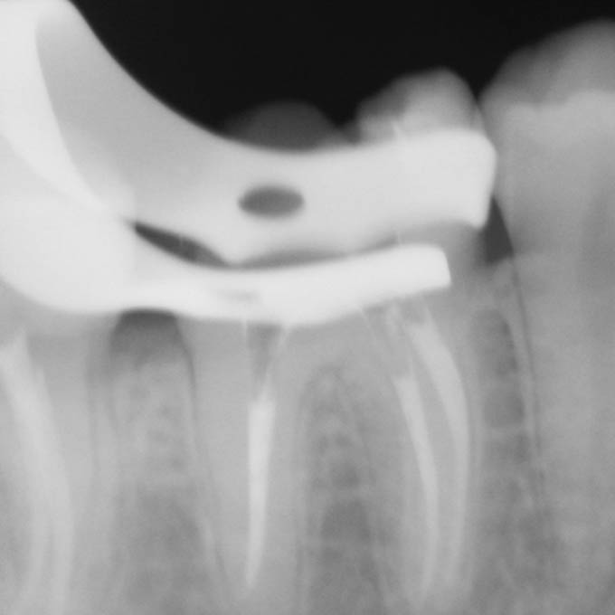
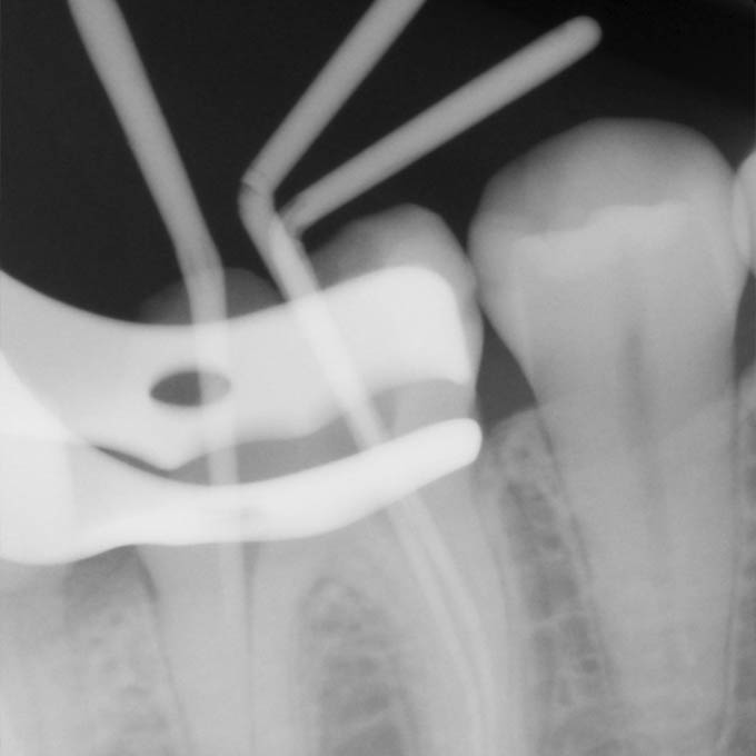
Дионис-Дент можно пройти лечение каналов зубов под микроскопом в Муроме. В нашей клинике мы стараемся сохранять зубы, а не бездумно удалять. Мы спасаем те зубы, которые вам предложили бы удалить в большинстве других клиник.

Стоматология Дионис-Дент, одна из немногих во Владимирской области, оснащена для этих целей операционным микроскопом Leica (Германия), что позволяет врачу контролировать мельчайшие детали лечения, провести обработку с максимальной точностью, тем самым исключить риск повторного инфицирования зубных каналов и возникновения болей после лечения.

Наши врачи найдут и вылечат каналы любой сложности.
К нам можно обращаться как за первичной, так и за повторной эндодонтией.


от 8400 ₽
 
Записаться

ЛЕЧЕНИЕ КАНАЛОВ В
ДИОНИС-ДЕНТ


 

ПОКАЗАНИЯ

Когда стоматолог будет лечить каналы:
острая самопроизвольная боль, которая усиливается при жевании;
обнаружение трещин корней или дна полости зуба;
потемнения или изменения цвета зуба;
наличие глубокой кариозной полости;
обнаружение дополнительных каналов и ответвлений основного канала в зубе;
перелечивание ранее леченого зуба в связи с возникновением воспалительного процесса;
устранения осложнений при лечении каналов, такие как перелом инструмента в корневом канале, перфорация стенки корня.

ЛЕЧЕНИЕ КАНАЛОВ ПОД МИКРОСКОПОМ: ЦЕНА И КАЧЕСТВО

Стоимость лечения под микроскопом выше традиционного, но и качество результата выше в разы. Использование сверхточного оборудования исключает риск осложнений.
Зуб может иметь от 1 до 4 корневых каналов, а в редких случаях даже больше. Их диаметр зачастую не превышает 1 мм, поэтому увидеть какую-либо патологию и обеспечить ее эффективное устранение невооруженным глазом крайне сложно. Кроме этого, часто корневые каналы могут быть изогнутым, неровным, иметь ответвления, что еще больше усложняет задачу стоматолога. Микроскоп позволяет полностью решить эти проблемы.

ЧТО БУДЕТ ЕСЛИ ДОЛГО НЕ ЛЕЧИТЬ КАРИЕС?

Если пациент не лечит кариес, со временем мягкая ткань, находящаяся в полости зуба — пульпа, воспаляется, начинается пульпит. Если и его оставить без внимания, инфекция проникнет в корневой канал, после чего может перейти на челюстную кость. Поэтому лечение кариеса и его осложнений лучше не откладывать!

Лечение пульпита и периодонтита

Пульпит и периодонтит - это две последующие стадии развития среднего и глубокого кариеса. Воспаление, которое сопровождается неприятными, а чаще болевыми ощущениями и требуют срочного стоматологического вмешательства.
Пульпит и периодонтит имеют немало отличий, но у них одна общая черта: обоих возможно избежать, если вовремя проводить лечение зубов, в частности кариес.
Благодаря лечению под микроскопом наши врачи проводят обработку каналов с максимальной точностью, тем самым исключая риск повторного инфицирования зубных каналов и возникновения болей после лечения.

Получить консультацию
лечение каналов муром

 
Как проходит процедура

Примеры работ

Фото 1 из 0
 

ЧАСТО ЗАДАВАЕМЫЕ ВОПРОСЫ

Как распознать пульпит?

Острая боль. Усиливается ночью и при касании;
Трудно определить источник боли. Болит "всё и сразу";
Повысилась чувствительность к горячему и холодному.

Как защитить себя от пульпита и периодонтита?

Защита от пульпита ничем не отличается от профилактики кариеса. Ниже написали основные правила:
Научитесь правильно чистить зубы. Мы специально подготовили видео про это. Обязательно посмотрите.
Потребляйте меньше сахара. Его остатки на зубах создают благоприятную среду для развития кариеса.
Возьмите за правило - навещать стоматолога раз в 6 месяцев.

В чем преимущества лечения каналов с микроскопом?

У микроскопа два плюса — многократное увеличение и мощная подсветка рабочего поля.

Это помогает врачу:
Увидеть скрытые детали: строение узких каналов зуба, трещины и микротрещины и др.
Бережно вылечить зуб. Врач отлично видит воспаленные ткани зуба и здоровые участки остаются нетронутыми.
Обнаружить и обработать труднопроходимые каналы. Зуб не придется перелечивать или даже удалять.
Качественно перелечить зуб после неудачного предыдущего лечения
Извлечь фрагменты обломанного инструмента в процессе лечения.
Спасти сильно разрушенный зуб от удаления.

Как восстанавливать зуб после лечения каналов?

Обычно это зависит от степени разрушения зуба.
В случае небольшого дефекта врач восстановит зуб пломбировочным материалом.
При утрате более половины тканей зуба – с помощью керамической вкладки.
При разрушении более двух третей тканей зуба — с помощью коронки.

Оптимальный вариант доктор предложит на консультации.

Лечение кисты зуба

Диагноз "корневая киста" еще недавно являлся показанием к удалению. Прежде чем удалить зуб с кистой, сто раз подумайте! Во всем мире зубосохраняющие принципы являются главенствующими в стоматологическом лечении. Если доктор может сохранить зуб - это его врачебный долг.
Стоматология Дионис-Дент специализируется на сохранении зубов, в том числе выполняет качественное лечение кисты зуба в Муроме. Успешное лечение возможно благодаря использованию дентального микроскопа и строгого соблюдения всех современных мировых протоколов лечения. Профессионализм и опыт наших врачей-микроскопистов позволяют решать любые проблемы даже в особо сложных клинических случаях. В нашу клинику часто обращаются пациенты, которым отказали в других стоматологиях, где получили приговор "удаление". Мы боремся за каждый зуб, каким бы безнадежным он не был!
Получить консультацию


Лечение кисты зуба в Муроме
от 19 900 ₽

ЧТО ТАКОЕ КИСТА ЗУБА И ЧЕМ ОНА ОПАСНА?

Киста зуба – это воспалительное образование округлой формы на верхушке корня, которая заполнена гнойным содержимым. Образование кисты на корне зуба связано с инфекцией в корневых каналах.

Коварство заболевания в том, что может развиваться годами, увеличиваться до огромных размеров, при этом не вызывать никакого дискомфорта. Чаще всего обнаруживается случайно при рентгенологических обследованиях по другим причинам. Опасно тем, что киста без лечения достигает значительных размеров и может стать причиной неприятных последствий:

На верхней челюсти — распространение в гайморовы пазухи, возникновение гайморита и сильнейших головных болей.

 

На нижней челюсти — поражение нижнечелюстного нерва и анемия половины нижней губы, возможны даже переломы челюсти за счет расплавления и истончения костной ткани.

 

Ежегодные профилактические осмотры у стоматолога позволяют выявить возможные воспалительные процессы на ранней стадии и сохранить зуб. Чем больше размеры кисты, тем меньше вероятности, что зуб удастся спасти.

СИМПТОМЫ

Как правило, на ранних стадиях заболевание протекает бессимптомно, ничем не проявляя себя. Первые признаки кисты зуба обычно возникают уже тогда, когда она достигает больших размеров

- неприятные ощущения при надкусывании твердой пищи;
- образование бугорка на десне на проекции корня зуба, который со временем увеличивается в размерах и выпячивается;
- болевые ощущения в процессе приема пищи;
- общая слабость и недомогание, повышение температуры тела;
- образование флюса или свищевого хода.

Возможные способы лечения

Ранее при обнаружении кисты на корне зуба, он подлежал немедленному удалению. К сожалению, многие клиники до сих пор придерживаются такого алгоритма, не желая тратить время и силы на кропотливое, но при этом весьма эффективное лечение.

Мы придерживаемся мнения, что за каждый зуб нужно бороться, если есть хоть малейший шанс на его спасение.

Возможны 2 протокола решения проблемы без удаления зуба:

1. Терапевтический
С помощью микроскопа терапевт-эндодонтист лечит каналы зуба (перелечивает если каналы были ранее запломбированы) - удаляет инфекцию из корня, дезинфицирует, пломбирует специализированным антисептическим герметиком. При отсутствии инфекции в каналах киста на верхушке корня постепенно уменьшается в размерах и полностью исчезает.

2. Хирургический (удаление кисты без удаления зуба)
Проводится операция по удалению кисты. Хирург формирует специальный микро-доступ к корню зуба через кость. Проводит раскрытие, удаление оболочек кисты, а также периапикальную коррекцию верхушки корня для устранения инфицированного участка. Затем — чистку и наполнение образовавшегося дефекта кости костнопластическим материалом. ПОДРОБНЕЕ

К сожалению, в практике случаются ситуации, когда ни один из методов нецелесообразен и дальнейшее лечение и не имеет шансов на успех. В таком случае лучше произвести аккуратное удаление зуба с предимплантационной подготовкой, после восстановления костной ткани установить надежный имплантат, который будет служить всю жизнь.

Мы боремся за каждый зуб — если есть хоть малейший шанс на его спасение!

Примеры работ

Фото 1 из 0

Восстановление коронковой части зуба после лечения кисты

Результат работы врача-эндодонтиста во многом зависит от того, каким образом будет восстановлена коронка зуба. Очень важно после лечения корневых каналов избежать повторного инфицирования каналов из полости рта. В зависимости от степени разрушения, зуб следует восстановить с помощью цельнокерамической вкладки или безметалловой коронки. Только в этом случае мы можем быть уверены, что зуб закрыт герметично и можем дать гарантию на лечение кисты.

Технологии и стандарты нашего Центра

Мы свели вероятность врачебных ошибок, неточностей в постановке диагноза и лечении к нулю.

Компьютерная диагностика- для выбора правильной тактики лечения

Невозможно поставить точный диагноз без полной картины клинической ситуации. Каждый пациент проходит Процедуру Компьютерной томографии перед лечением каналов зуба.

Дентальный микроскоп — исключает риски ошибок

30-ти кратное оптическое увеличение в разы повышает точность диагностики и качество лечения корневых каналов.

Становится возможным определение скрытых каналов и ответвлений, трещин и перфораций корня.

Удаление только инфицированных тканей без повреждения здоровых.

3D пломбирование каналов — максимально герметичное лечение

Данный способ лечения каналов позволяет провести качественное равномерное трехмерное пломбирование даже сложных извилистых корневых каналов и микро-ответвлений горячей гуттаперчей без образования пустот.

CEREC -уникальная технология реставрации зубов

Протезирование зубов по данной технологии имеет массу плюсов:

Экономия средств и времени так как все происходит за 1 сеанс;
Все манипуляции происходят легко и быстро;
После протезирования челюсти смыкаются идеально;
Практически полностью исключается вероятность ошибок вследствие непрофессионализма врача;
Пациент не испытывает дискомфорт;
Точно повторяется форма зубных единиц;
Коронка или вкладка по эстетике и функциональности максимально соответствует естественной зубной эмали;
Конструкции надежны, долговечны, сокращается вероятность появления дефектов.


 

ЧАСТО ЗАДАВАЕМЫЕ ВОПРОСЫ

На сколько болезненно лечение каналов/кисты?

Перед лечением производится обезболивание с помощью компьютерной анестезии. Это исключает болевые ощущения даже на этапе ввода анестетика. После лечения зуб какое то время может поднывать, но это пройдёт. На этом этапе зуб, который раньше не болел, может дать небольшое контролируемое воспаление на период до 7 дней. Все рекомендации, памятку и препараты для комфортного завершения Вы получите в клинике. Зуб может болеть, если Вы пренебрегаете нашими рекомендациями.

В какой срок после лечения кисты необходимо закрыть зуб под коронку?

При незначительном разрушении коронковой части зуба после эндодонтического лечения каналов выполняется постоянная эстетическая реставрация из композитного материала. Если же невозможно создать надежную реставрацию композитом при значительных разрушениях — сначала фиксируется временная коронка из материала продолжительного ношения. Коронка, изготовленная в нашей лаборатории методом фрезерования не отваливается, не ломается и идеальна по цвету. Целостность и эстетика гарантировано сохраняется 12 месяцев. Для соблюдения герметизма и предотвращения инфицирования каналов временную коронку необходимо заменить на постоянную керамическую или циркониевую после подтверждения эффективности лечения — в срок от 2 до 5 месяцев.

ВИДЕО-ОТЗЫВЫ

услуги дионис дент
 

Ждём вас на приём в Дионис-Дент!


Записаться на прием
 

Также информацию можно узнать по телефону

+7 (920) 628-56-04

Или написать нам:

ВКонтакте

Whatsapp

dionis-dent@mail.ru

Сайт разработан в студии Delta
Мы используем файлы cookie и рекомендательные технологии. Пользуясь сайтом, Вы соглашаетесь с
Политикой обработки персональных данных
OK